
Candidato quebra pé dias antes do TAF da Polícia Militar
Um jovem concurseiro de Gurupi, no sul do Tocantins, conseguiu ser aprovado no Teste de Aptidão Física (TAF) da Polícia Militar mesmo com o pé quebrado. A prova aconteceu 30 dias após Gabriel Santos Rodrigues, de 22 anos, cair do telhado da própria casa enquanto trocava a boia da caixa d’água.
“Pensei que não ia conseguir. Consegui fazer as outras etapas, mas no dia da corrida eu estava bastante nervoso. Quando estava faltando mais ou menos 20 ou 30 segundos olhei no meu relógio e estava faltando completar uma volta de 200 metros, falei ‘ah, não vai dar’. Porque por mais que o tempo passe rápido lá na hora, tudo na sua mente passa devagar”, contou Gabriel em entrevista à TV Anhanguera.
Mesmo em dúvida se conseguiria completar a prova, Gabriel continuou, afinal já havia passado pelas outras etapas do TAF. Ele concluiu a prova faltando três segundos para o limite.
📱 Clique aqui para seguir o canal do g1 TO no WhatsApp
LEIA TAMBÉM:
Suspeita de movimetnar R$ 217 milhões com jogos ilegais, Karol Digital tem prisão convertida em domiciliar após três meses
Motorista que recebeu R$ 131 milhões por engano teve que pagar tarifa mais alta em conta após erro de banco
Filha adolescente suspeita e fuga em carro: o que se sabe sobre caso de advogado morto a facadas em Gurupi
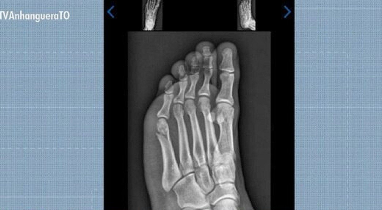
Gabriel Santos Rodrigues foi aprovado no TAF da PMTO mesmo com fratura no pé
Reprodução/TV Anhanguera
💡 O TAF é uma das etapas existentes em concursos públicos para polícia, Corpo de Bombeiros, entre outros cargos. O exame serve para avaliar se o candidato tem condições físicas adequadas para exercer determinada função.
Os exercícios cobrados no exame dependem do edital de cada concurso. No caso da Polícia Militar do Tocantins, a avaliação envolve provas de flexão ao solo, flexão abdominal, flexão em barra fixa e corrida de 12 minutos, além de exames clínicos para atestar a capacidade física e a prontidão para o serviço.
Concurseiro concluiu prova de corrida do TAF com fratura no pé
Reprodução/TV Anhanguera
mais notícias da região no g1 Tocantins.